
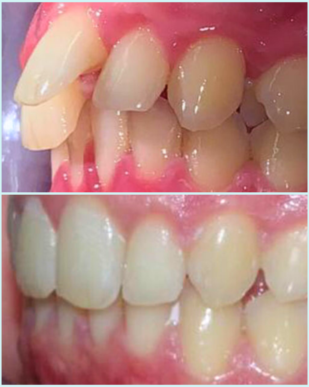
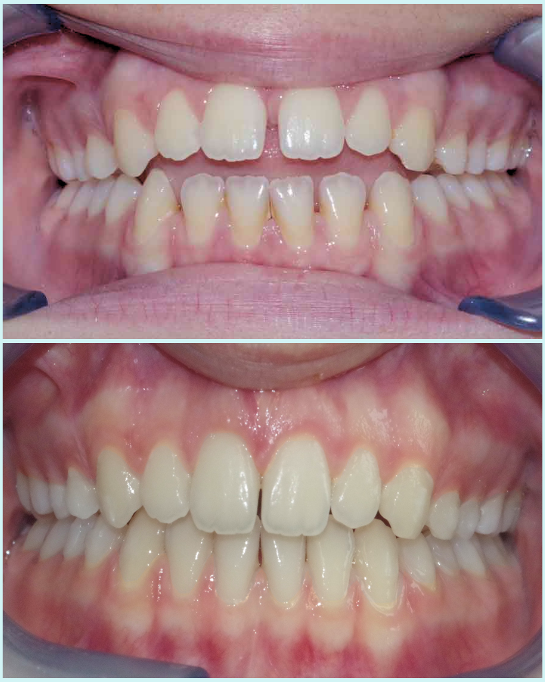
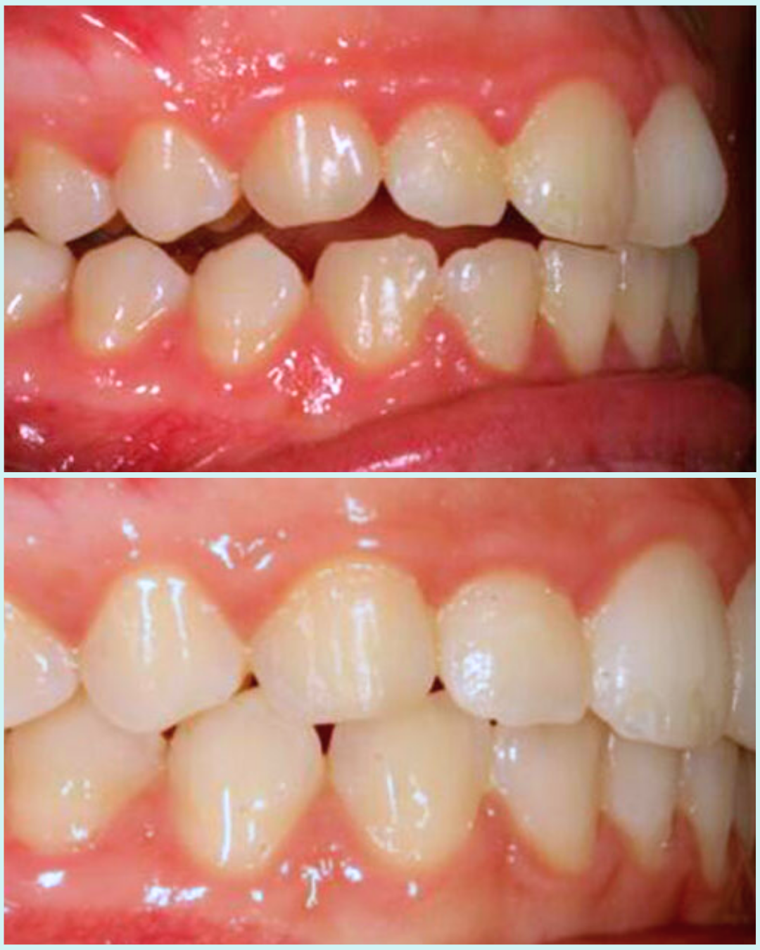
Experience the Italian-made invisible aligner system that combines digital precision, comfort, and aesthetics. With Nuvola, you can achieve a perfectly aligned smile without braces.
Nuvola aligners are custom-made, nearly invisible trays designed to gradually move your teeth into alignment.
Made from Evolution™ hybrid co-polyester, they are strong, durable, and resistant to discoloration. Unlike
braces, they are removable and discreet, offering an orthodontic solution that adapts to your lifestyle.
Nuvola’s system is designed for a wide range of cases, from mild crowding and gaps to more complex malocclusions, and offers a predictable, controlled alignment journey with expert Italian craftsmanship.
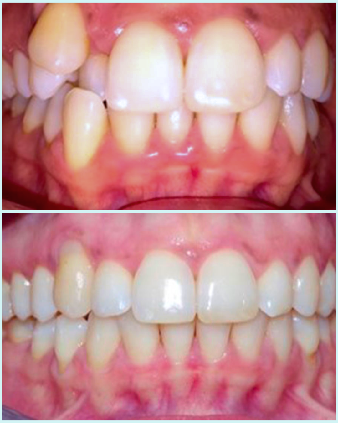
Experience the Italian-made invisible aligner system that combines digital precision, comfort, and aesthetics. With Nuvola, you can achieve a perfectly aligned smile without braces.
Nuvola aligners are custom-made, nearly invisible trays designed to gradually move your teeth into alignment.
Made from Evolution™ hybrid co-polyester, they are strong, durable, and resistant to discoloration. Unlike
braces, they are removable and discreet, offering an orthodontic solution that adapts to your lifestyle.
Nuvola’s system is designed for a wide range of cases, from mild crowding and gaps to more complex malocclusions, and offers a predictable, controlled alignment journey with expert Italian craftsmanship.
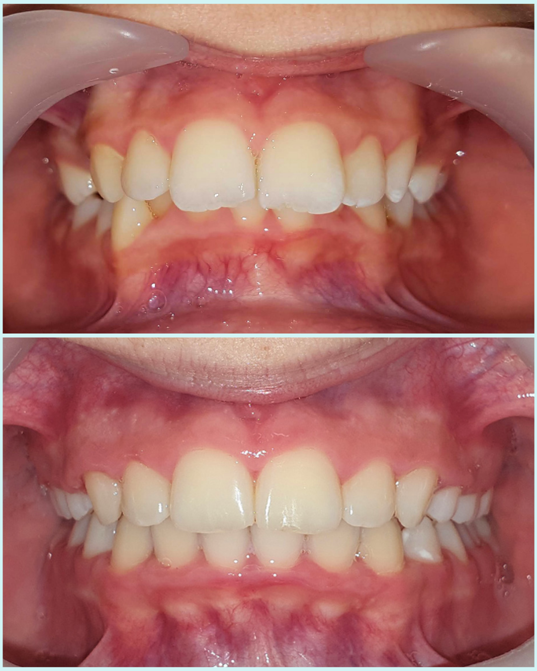
Experience the Italian-made invisible aligner system that combines digital precision, comfort, and aesthetics. With Nuvola, you can achieve a perfectly aligned smile without braces.
Nuvola aligners are custom-made, nearly invisible trays designed to gradually move your teeth into alignment.
Made from Evolution™ hybrid co-polyester, they are strong, durable, and resistant to discoloration. Unlike
braces, they are removable and discreet, offering an orthodontic solution that adapts to your lifestyle.
Nuvola’s system is designed for a wide range of cases, from mild crowding and gaps to more complex malocclusions, and offers a predictable, controlled alignment journey with expert Italian craftsmanship.
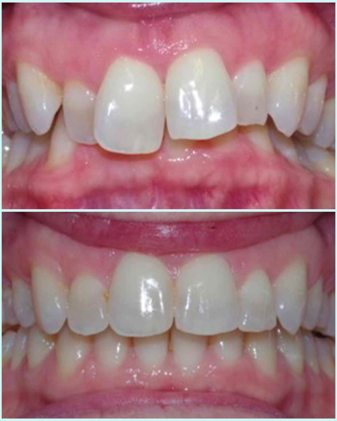
Experience the Italian-made invisible aligner system that combines digital precision, comfort, and aesthetics. With Nuvola, you can achieve a perfectly aligned smile without braces.
Nuvola aligners are custom-made, nearly invisible trays designed to gradually move your teeth into alignment. Made from Evolution™ hybrid co-polyester, they are strong, durable, and resistant to discoloration. Unlike braces, they are removable and discreet, offering an orthodontic solution that adapts to your lifestyle.
Nuvola’s system is designed for a wide range of cases, from mild crowding and gaps to more complex malocclusions, and offers a predictable, controlled alignment journey with expert Italian craftsmanship.
Begin with an orthodontic consultation, either by sharing photos online with our consultants or in person with our orthodontist. Here, we discuss your goals, needs, and the potential of aligner treatment.
After the consultation, we take precise dental impressions and records, which serve as the foundation for your digital treatment plan.
Within 5–7 days, you’ll receive a 3D video showing your teeth gradually aligning over 26–78 weeks (depending on case severity). Based on this, Nuvola classifies your case (A to C+, with C+ being the most complex). This determines price, duration, and whether one or both arches need treatment. Once confirmed, aligners are produced in Italy and delivered in 2–3 weeks.
Your orthodontist fits your first aligner and provides a full set of progressively different trays. You’ll wear each aligner 20 hours per day (removing only to eat), gradually achieving alignment
over the treatment period.
At the end of treatment, you’ll return for a final evaluation. We take impressions again to create a custom retainer, which you’ll wear nightly to maintain your results indefinitely.
Begin with an orthodontic consultation, either by sharing photos online with our consultants or in person with our orthodontist. Here, we discuss your goals, needs, and the potential of aligner treatment.
After the consultation, we take precise dental impressions and records, which serve as the foundation for your digital treatment plan.
Within 5–7 days, you’ll receive a 3D video showing your teeth gradually aligning over 26–78 weeks (depending on case severity). Based on this, Nuvola classifies your case (A to C+, with C+ being the most complex). This determines price, duration, and whether one or both arches need treatment. Once confirmed, aligners are produced in Italy and delivered in 2–3 weeks.
Your orthodontist fits your first aligner and provides a full set of progressively different trays. You’ll wear each aligner 20 hours per day (removing only to eat), gradually achieving alignment
over the treatment period.
At the end of treatment, you’ll return for a final evaluation. We take impressions again to create a custom retainer, which you’ll wear nightly to maintain your results indefinitely.
Begin with an orthodontic consultation, either by sharing photos online with our consultants or in person with our orthodontist. Here, we discuss your goals, needs, and the potential of aligner treatment.
After the consultation, we take precise dental impressions and records, which serve as the foundation for your digital treatment plan.
Within 5–7 days, you’ll receive a 3D video showing your teeth gradually aligning over 26–78 weeks (depending on case severity). Based on this, Nuvola classifies your case (A to C+, with C+ being the most complex). This determines price, duration, and whether one or both arches need treatment. Once confirmed, aligners are produced in Italy and delivered in 2–3 weeks.
Your orthodontist fits your first aligner and provides a full set of progressively different trays. You’ll wear each aligner 20 hours per day (removing only to eat), gradually achieving alignment
over the treatment period.
At the end of treatment, you’ll return for a final evaluation. We take impressions again to create a custom retainer, which you’ll wear nightly to maintain your results indefinitely.
Begin with an orthodontic consultation, either by sharing photos online with our consultants or in person with our orthodontist. Here, we discuss your goals, needs, and the potential of aligner treatment.
After the consultation, we take precise dental impressions and records, which serve as the foundation for your digital treatment plan.
Within 5–7 days, you’ll receive a 3D video showing your teeth gradually aligning over 26–78 weeks (depending on case severity). Based on this, Nuvola classifies your case (A to C+, with C+ being the most complex). This determines price, duration, and whether one or both arches need treatment. Once confirmed, aligners are produced in Italy and delivered in 2–3 weeks.
Your orthodontist fits your first aligner and provides a full set of progressively different trays. You’ll wear each aligner 20 hours per day (removing only to eat), gradually achieving alignment
over the treatment period.
At the end of treatment, you’ll return for a final evaluation. We take impressions again to create a custom retainer, which you’ll wear nightly to maintain your results indefinitely.
Straighten your teeth discreetly, comfortably, and effectively with Nuvola aligners. Italian-made quality, expert Albanian care, and results up to 70% cheaper than Western Europe.
Straighten your teeth discreetly, comfortably, and effectively with Nuvola aligners. Italian-made quality, expert Albanian care, and results up to 70% cheaper than Western Europe.
Straighten your teeth discreetly, comfortably, and effectively with Nuvola aligners. Italian-made quality, expert Albanian care, and results up to 70% cheaper than Western Europe.
Straighten your teeth discreetly, comfortably, and effectively with Nuvola aligners. Italian-made quality, expert Albanian care, and results up to 70% cheaper than Western Europe.
Unlike metal braces, aligners are clear and almost undetectable
Easy brushing and flossing compared to cleaning around fixed braces.
Smooth trays with no wires or brackets; removable for meals and oral hygiene.
Enjoy your favorite foods without worrying about damaging wires.
Clinically proven to achieve precise tooth movements, offering predictable and reliable results.
Aligners adapt to your daily activities, sports, or work without discomfort.
Unlike metal braces, aligners are clear and almost undetectable
Easy brushing and flossing compared to cleaning around fixed braces.
Smooth trays with no wires or brackets; removable for meals and oral hygiene.
Enjoy your favorite foods without worrying about damaging wires.
Clinically proven to achieve precise tooth movements, offering predictable and reliable results.
Aligners adapt to your daily activities, sports, or work without discomfort.
Unlike metal braces, aligners are clear and almost undetectable
Easy brushing and flossing compared to cleaning around fixed braces.
Smooth trays with no wires or brackets; removable for meals and oral hygiene.
Enjoy your favorite foods without worrying about damaging wires.
Clinically proven to achieve precise tooth movements, offering predictable and reliable results.
Aligners adapt to your daily activities, sports, or work without discomfort.
Unlike metal braces, aligners are clear and almost undetectable.
Easy brushing and flossing compared to cleaning around fixed braces.
Smooth trays with no wires or brackets; removable for meals and oral hygiene.
Enjoy your favorite foods without worrying about damaging wires.
Aligners adapt to your daily activities, sports, or work without discomfort.
Looking for more information about Invisible Aligners? You can find it here
Most Nuvola treatments last 6-18 months, depending on the complexity of your case. During your consultation, we take impressions and create a digital “study” that shows your teeth moving step by step into alignment. This study gives you an exact timeline before you commit, so you know whether your case requires 26 weeks or 78 weeks of aligner wear.
No. Unlike braces, Nuvola aligners use gentle, controlled force to move teeth gradually. You may feel mild pressure or tightness for a few days when switching to a new aligner, but this quickly subsides. Patients always find the process far more comfortable than traditional orthodontics, with no irritation from wires or brackets.
Yes. Aligners must be worn 20 hours per day for the best results. You remove them only when eating or drinking (anything other than water). Consistency is key, patients who wear them as instructed see predictable, on-time results.
Nuvola aligners are designed to be ultra-thin and discreet, so they have little to no impact on speech. Most patients continue speaking normally from day one, and any minor adjustment period passes quickly. Once you get used to wearing them, you’ll forget they’re even there.
Yes. After completing your aligner journey, we take new impressions and provide a custom retainer to keep your teeth in their new position. The retainer should be worn every night on a long-term basis. This ensures your results are stable and your investment in a straight smile is
protected for life.
Nuvola aligners are capable of treating mild to complex misalignments, classified from A to C+. Even cases that require significant movement can be treated with Nuvola thanks to its precise design and material strength. However, very severe orthodontic issues, such as major jaw discrepancies, may be better treated with traditional braces or surgical procedures. That’s why a full consultation with our orthodontist is always required before starting treatment.
Looking for more information about Invisible Aligners? You can find it here
Most Nuvola treatments last 6-18 months, depending on the complexity of your case. During your consultation, we take impressions and create a digital “study” that shows your teeth moving step by step into alignment. This study gives you an exact timeline before you commit, so you know whether your case requires 26 weeks or 78 weeks of aligner wear.
No. Unlike braces, Nuvola aligners use gentle, controlled force to move teeth gradually. You may feel mild pressure or tightness for a few days when switching to a new aligner, but this quickly subsides. Patients always find the process far more comfortable than traditional orthodontics, with no irritation from wires or brackets.
Yes. Aligners must be worn 20 hours per day for the best results. You remove them only when eating or drinking (anything other than water). Consistency is key, patients who wear them as instructed see predictable, on-time results.
Nuvola aligners are designed to be ultra-thin and discreet, so they have little to no impact on speech. Most patients continue speaking normally from day one, and any minor adjustment period passes quickly. Once you get used to wearing them, you’ll forget they’re even there.
Yes. After completing your aligner journey, we take new impressions and provide a custom retainer to keep your teeth in their new position. The retainer should be worn every night on a long-term basis. This ensures your results are stable and your investment in a straight smile is
protected for life.
Nuvola aligners are capable of treating mild to complex misalignments, classified from A to C+. Even cases that require significant movement can be treated with Nuvola thanks to its precise design and material strength. However, very severe orthodontic issues, such as major jaw discrepancies, may be better treated with traditional braces or surgical procedures. That’s why a full consultation with our orthodontist is always required before starting treatment.
Looking for more information about Invisible Aligners? You can find it here
Most Nuvola treatments last 6-18 months, depending on the complexity of your case. During your consultation, we take impressions and create a digital “study” that shows your teeth moving step by step into alignment. This study gives you an exact timeline before you commit, so you know whether your case requires 26 weeks or 78 weeks of aligner wear.
No. Unlike braces, Nuvola aligners use gentle, controlled force to move teeth gradually. You may feel mild pressure or tightness for a few days when switching to a new aligner, but this quickly subsides. Patients always find the process far more comfortable than traditional orthodontics, with no irritation from wires or brackets.
Yes. Aligners must be worn 20 hours per day for the best results. You remove them only when eating or drinking (anything other than water). Consistency is key, patients who wear them as instructed see predictable, on-time results.
Nuvola aligners are designed to be ultra-thin and discreet, so they have little to no impact on speech. Most patients continue speaking normally from day one, and any minor adjustment period passes quickly. Once you get used to wearing them, you’ll forget they’re even there.
Yes. After completing your aligner journey, we take new impressions and provide a custom retainer to keep your teeth in their new position. The retainer should be worn every night on a long-term basis. This ensures your results are stable and your investment in a straight smile is
protected for life.
Nuvola aligners are capable of treating mild to complex misalignments, classified from A to C+. Even cases that require significant movement can be treated with Nuvola thanks to its precise design and material strength. However, very severe orthodontic issues, such as major jaw discrepancies, may be better treated with traditional braces or surgical procedures. That’s why a full consultation with our orthodontist is always required before starting treatment.
Looking for more information about Invisible Aligners? You can find it here
Most Nuvola treatments last 6-18 months, depending on the complexity of your case. During your consultation, we take impressions and create a digital “study” that shows your teeth moving step by step into alignment. This study gives you an exact timeline before you commit, so you know whether your case requires 26 weeks or 78 weeks of aligner wear.
No. Unlike braces, Nuvola aligners use gentle, controlled force to move teeth gradually. You may feel mild pressure or tightness for a few days when switching to a new aligner, but this quickly subsides. Patients always find the process far more comfortable than traditional orthodontics, with no irritation from wires or brackets.
Yes. Aligners must be worn 20 hours per day for the best results. You remove them only when eating or drinking (anything other than water). Consistency is key, patients who wear them as instructed see predictable, on-time results.
Nuvola aligners are designed to be ultra-thin and discreet, so they have little to no impact on speech. Most patients continue speaking normally from day one, and any minor adjustment period passes quickly. Once you get used to wearing them, you’ll forget they’re even there.
Yes. After completing your aligner journey, we take new impressions and provide a custom retainer to keep your teeth in their new position. The retainer should be worn every night on a long-term basis. This ensures your results are stable and your investment in a straight smile is
protected for life.
Nuvola aligners are capable of treating mild to complex misalignments, classified from A to C+. Even cases that require significant movement can be treated with Nuvola thanks to its precise design and material strength. However, very severe orthodontic issues, such as major jaw discrepancies, may be better treated with traditional braces or surgical procedures. That’s why a full consultation with our orthodontist is always required before starting treatment.
Fill in the form to get a personalised treatment plan and price estimate from our dental experts
Fill in the form to get a personalised treatment plan and price estimate from our dental experts
Fill in the form to get a personalised treatment plan and price estimate from our dental experts
World-class dentistry with European standards of care. Precision, artistry, and comfort in every smile.
Rruga Ibrahim Rugova, pas Universitetit të Arteve, 1001, Tirana, Albania
9:00 - 18:00
9:00 - 14:00
Closed
© 2025 DentalCare One. All rights reserved.
World-class dentistry with European standards of care. Precision, artistry, and comfort in every smile.
9:00 - 18:00
9:00 - 14:00
Closed
© 2025 DentalCare One. All rights reserved.