
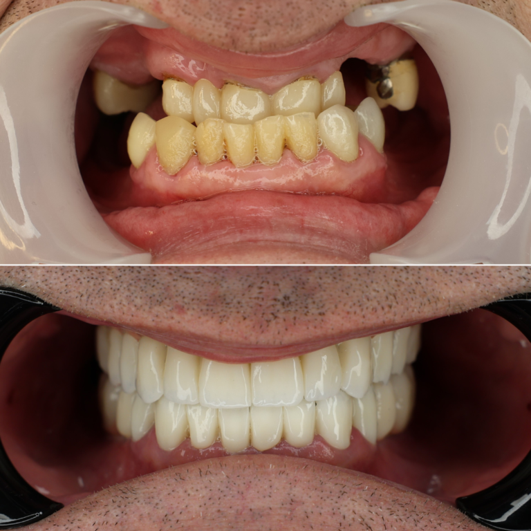
Six precisely placed implants support a full arch of new teeth, restoring function, comfort, and natural aesthetics.
All-on-6 replaces a full upper or lower arch with four titanium implants that anchor a fixed bridge. It is best suited for patients who have lost all or most teeth, or whose existing teeth are severely damaged due to decay, periodontitis, or mobility. This procedure is also suitable for patients with severe bone loss, where an all-on-6 might not be possible. With fewer implants required, the procedure is efficient, and provides a stable, lifelike smile that restores both function and confidence.
Six precisely placed implants support a full arch of new teeth, restoring function, comfort, and natural aesthetics.
All-on-6 replaces a full upper or lower arch with four titanium implants that anchor a fixed bridge. It is best suited for patients who have lost all or most teeth, or whose existing teeth are severely damaged due to decay, periodontitis, or mobility. This procedure is also suitable for patients with severe bone loss, where an all-on-6 might not be possible. With fewer implants required, the procedure is efficient, and provides a stable, lifelike smile that restores both function and confidence.
Six precisely placed implants support a full arch of new teeth, restoring function, comfort, and natural aesthetics.
All-on-6 replaces a full upper or lower arch with four titanium implants that anchor a fixed bridge. It is best suited for patients who have lost all or most teeth, or whose existing teeth are severely damaged due to decay, periodontitis, or mobility. This procedure is also suitable for patients with severe bone loss, where an all-on-6 might not be possible. With fewer implants required, the procedure is efficient, and provides a stable, lifelike smile that restores both function and confidence.
We capture a panoramic x-ray, 3D CBCT scans, and photographs that help design your new smile. This plan distributes bite forces efficiently and guides the surgeon with precision.
Treatment is performed under IV sedation administered by a certified anesthesiologist who continuously monitors your vitals for safety (airway, oxygen saturation, blood pressure, ECG).
Six premium Italian implants are then placed at strategic angles for primary jaw stability and
long-term results.
Once the implants are placed, the surgeon checks how firmly they are anchored in the jawbone. This is done with a small torque wrench that measures how much force each implant can safely withstand. If the implants show strong stability, we can plan for a fixed temporary bridge within 24-48 hours. If the stability is lower, we provide a temporary denture while the implants bond naturally with the bone. This careful testing not only tells us whether immediate loading is possible, but also gives us an idea of how many months the implants will take to fully integrate, usually between 3 and 8 months depending on bone quality and healing.
We take impressions (or digital scans) after surgery. Our lab fabricates your provisional teeth, either a fixed temporary bridge (when stability permits) or a well-fitting temporary denture. Delivery is typically within 24-48 hours, not the same day, to ensure accuracy and comfort.
Implants bond with bone over 3-8 months, influenced by bone quality, jaw location, general
health, and age. Lower jaws often integrate faster than uppers; smokers or certain medical
conditions may need longer. The exact time period will be communicated to you by the surgical team after the insertion of the implants.
After the healing phase, when the implants have fully integrated with the jawbone, we begin the
process of crafting your permanent bridge. At DentalCare One, this step is never rushed, it is a careful, staged process designed to perfect both function and aesthetics. We start with a trial bridge, which allows you to test your new smile in real life. During this stage, we refine:
● Bite (occlusion): ensuring your chewing feels balanced and comfortable.
● Speech (phonetics): checking that words and sounds come out naturally.
● Smile design: adjusting tooth shape, size, and line so it harmonizes with your facial
features.
Only once you and our specialists are completely satisfied do we move to the final zirconium or
ceramic bridge, hand-crafted in our lab for long-term durability and natural beauty. This trial
period is something we are especially proud of, as it guarantees that your new smile doesn’t just
look right, it feels right in every way.
Six precisely placed implants support a full arch of new teeth, restoring function, comfort, and natural aesthetics.
All-on-6 replaces a full upper or lower arch with four titanium implants that anchor a fixed bridge. It is best suited for patients who have lost all or most teeth, or whose existing teeth are severely damaged due to decay, periodontitis, or mobility. This procedure is also suitable for patients with severe bone loss, where an all-on-6 might not be possible. With fewer implants required, the procedure is efficient, and provides a stable, lifelike smile that restores both function and confidence.
We capture a panoramic x-ray, 3D CBCT scans, and photographs that help design your new smile. This plan distributes bite forces efficiently and guides the surgeon with precision.
Treatment is performed under IV sedation administered by a certified anesthesiologist who continuously monitors your vitals for safety (airway, oxygen saturation, blood pressure, ECG).
Six premium Italian implants are then placed at strategic angles for primary jaw stability and
long-term results.
Once the implants are placed, the surgeon checks how firmly they are anchored in the jawbone. This is done with a small torque wrench that measures how much force each implant can safely withstand. If the implants show strong stability, we can plan for a fixed temporary bridge within 24-48 hours. If the stability is lower, we provide a temporary denture while the implants bond naturally with the bone. This careful testing not only tells us whether immediate loading is possible, but also gives us an idea of how many months the implants will take to fully integrate, usually between 3 and 8 months depending on bone quality and healing.
We take impressions (or digital scans) after surgery. Our lab fabricates your provisional teeth, either a fixed temporary bridge (when stability permits) or a well-fitting temporary denture. Delivery is typically within 24-48 hours, not the same day, to ensure accuracy and comfort.
Implants bond with bone over 3-8 months, influenced by bone quality, jaw location, general
health, and age. Lower jaws often integrate faster than uppers; smokers or certain medical
conditions may need longer. The exact time period will be communicated to you by the surgical team after the insertion of the implants.
After the healing phase, when the implants have fully integrated with the jawbone, we begin the
process of crafting your permanent bridge. At DentalCare One, this step is never rushed, it is a careful, staged process designed to perfect both function and aesthetics. We start with a trial bridge, which allows you to test your new smile in real life. During this stage, we refine:
● Bite (occlusion): ensuring your chewing feels balanced and comfortable.
● Speech (phonetics): checking that words and sounds come out naturally.
● Smile design: adjusting tooth shape, size, and line so it harmonizes with your facial
features.
Only once you and our specialists are completely satisfied do we move to the final zirconium or ceramic bridge, hand-crafted in our lab for long-term durability and natural beauty. This trial period is something we are especially proud of, as it guarantees that your new smile doesn’t just look right, it feels right in every way.
We capture a panoramic x-ray, 3D CBCT scans, and photographs that help design your new smile. This plan distributes bite forces efficiently and guides the surgeon with precision.
Treatment is performed under IV sedation administered by a certified anesthesiologist who continuously monitors your vitals for safety (airway, oxygen saturation, blood pressure, ECG).
Six premium Italian implants are then placed at strategic angles for primary jaw stability and
long-term results.
Once the implants are placed, the surgeon checks how firmly they are anchored in the jawbone. This is done with a small torque wrench that measures how much force each implant can safely withstand. If the implants show strong stability, we can plan for a fixed temporary bridge within 24-48 hours. If the stability is lower, we provide a temporary denture while the implants bond naturally with the bone. This careful testing not only tells us whether immediate loading is possible, but also gives us an idea of how many months the implants will take to fully integrate, usually between 3 and 8 months depending on bone quality and healing.
We take impressions (or digital scans) after surgery. Our lab fabricates your provisional teeth, either a fixed temporary bridge (when stability permits) or a well-fitting temporary denture. Delivery is typically within 24-48 hours, not the same day, to ensure accuracy and comfort.
Implants bond with bone over 3-8 months, influenced by bone quality, jaw location, general
health, and age. Lower jaws often integrate faster than uppers; smokers or certain medical
conditions may need longer. The exact time period will be communicated to you by the surgical team after the insertion of the implants.
After the healing phase, when the implants have fully integrated with the jawbone, we begin the
process of crafting your permanent bridge. At DentalCare One, this step is never rushed, it is a careful, staged process designed to perfect both function and aesthetics. We start with a trial bridge, which allows you to test your new smile in real life. During this stage, we refine:
● Bite (occlusion): ensuring your chewing feels balanced and comfortable.
● Speech (phonetics): checking that words and sounds come out naturally.
● Smile design: adjusting tooth shape, size, and line so it harmonizes with your facial
features.
Only once you and our specialists are completely satisfied do we move to the final zirconium or
ceramic bridge, hand-crafted in our lab for long-term durability and natural beauty. This trial
period is something we are especially proud of, as it guarantees that your new smile doesn’t just
look right, it feels right in every way.
We begin with panoramic x-rays, 3D CBCT scans, and photographs to plan your treatment. This ensures optimal positioning of the four implants and a balanced distribution of chewing forces.
Treatment is performed under IV sedation administered by a certified anesthesiologist who continuously monitors your vitals for safety (airway, oxygen saturation, blood pressure, ECG). Six premium Italian implants are then placed at strategic angles for primary jaw stability and long-term results.
Once the implants are placed, the surgeon checks how firmly they are anchored in the jawbone. This is done with a small torque wrench that measures how much force each implant can safely withstand. If the implants show strong stability, we can plan for a fixed temporary bridge within 24-48 hours. If the stability is lower, we provide a temporary denture while the implants bond naturally with the bone. This careful testing not only tells us whether immediate loading is possible, but also gives us an idea of how many months the implants will take to fully integrate, usually between 3 and 8 months depending on bone quality and healing.
We take impressions (or digital scans) after surgery. Our lab fabricates your provisional teeth, either a fixed temporary bridge (when stability permits) or a well-fitting temporary denture. Delivery is typically within 24-48 hours, not the same day, to ensure accuracy and comfort.
Implants bond with bone over 3-8 months, influenced by bone quality, jaw location, general health, and age. Lower jaws often integrate faster than uppers; smokers or certain medical conditions may need longer. The exact time period will be communicated to you by the surgical team after the insertion of the implants.
After the healing phase, when the implants have fully integrated with the jawbone, we begin the process of crafting your permanent bridge. At DentalCare One, this step is never rushed, it is a careful, staged process designed to perfect both function and aesthetics. We start with a trial bridge, which allows you to test your new smile in real life. During this stage, we refine:
● Bite (occlusion): ensuring your chewing feels balanced and comfortable.
● Speech (phonetics): checking that words and sounds come out naturally.
● Smile design: adjusting tooth shape, size, and line so it harmonizes with your facial
features.
Only once you and our specialists are completely satisfied do we move to the final zirconium or ceramic bridge, hand-crafted in our lab for long-term durability and natural beauty. This trial period is something we are especially proud of, as it guarantees that your new smile doesn’t just look right, it feels right in every way.
“Immediate loading” means fitting temporary teeth onto the implants shortly after surgery. To ensure safety, the surgeon measures implant stability with a torque wrench. If stability is high, a fixed provisional bridge can be fitted within 24-48 hours. If not, a removable denture is used during healing. This approach combines immediate comfort with the best long-term outcomes.
“Immediate loading” means fitting temporary teeth onto the implants shortly after surgery. To ensure safety, the surgeon measures implant stability with a torque wrench. If stability is high, a fixed provisional bridge can be fitted within 24-48 hours. If not, a removable denture is used during healing. This approach combines immediate comfort with the best long-term outcomes.
“Immediate loading” means fitting temporary teeth onto the implants shortly after surgery. To ensure safety,
the surgeon measures implant stability with a torque wrench. If stability is high, a fixed provisional bridge can be fitted within 24-48 hours. If not, a removable denture is used during healing. This approach combines immediate comfort with the best long-term outcomes.
“Immediate loading” means fitting temporary teeth onto the implants shortly after surgery. To ensure safety, the surgeon measures implant stability with a torque wrench. If stability is high, a fixed provisional bridge can be fitted within 24-48 hours. If not, a removable denture is used during healing. This approach combines immediate comfort with the best long-term outcomes.
Forget the slipping and insecurity of removable dentures. With All-on-6, your teeth are anchored firmly in place, so you can laugh, eat, and speak without holding back.
Unlike dentures, implants stimulate the jawbone, helping to prevent bone loss and preserving the natural contours of your face. This means your smile not only looks better today, but stays strong for the future.
Your new teeth are crafted to match your facial features, bite, and natural expressions, so the result isn’t just functional, it’s beautifully yours.
Within 24-48 hours after surgery, you’ll already have your first set of new teeth, and a clear, structured path toward your final bridge. It’s a journey designed for speed, precision, and long-lasting success.
Forget the slipping and insecurity of removable dentures. With All-on-6, your teeth are anchored firmly in place, so you can laugh, eat, and speak without holding back.
Unlike dentures, implants stimulate the jawbone, helping to prevent bone loss and preserving the natural contours of your face. This means your smile not only looks better today, but stays strong for the future.
Your new teeth are crafted to match your facial features, bite, and natural expressions, so the result isn’t just functional, it’s beautifully yours.
Within 24-48 hours after surgery, you’ll already have your first set of new teeth, and a clear, structured path toward your final bridge. It’s a journey designed for speed, precision, and long-lasting success.
Forget the slipping and insecurity of removable dentures. With All-on-6, your teeth are anchored firmly in place, so you can laugh, eat, and speak without holding back.
Your new teeth are crafted to match your facial features, bite, and natural expressions, so the result isn’t just functional, it’s beautifully yours.
Unlike dentures, implants stimulate the jawbone, helping to prevent bone loss and preserving the natural contours of your face. This means your smile not only looks better today, but stays
strong for the future.
Within 24-48 hours after surgery, you’ll already have your first set of new teeth, and a clear, structured path toward your final bridge. It’s a journey designed for speed, precision, and long-lasting success.
Forget the slipping and insecurity of removable dentures. With All-on-6, your teeth are anchored firmly in place, so you can laugh, eat, and speak without holding back.
Unlike dentures, implants stimulate the jawbone, helping to prevent bone loss and preserving the natural contours of your face. This means your smile not only looks better today, but stays
strong for the future.
Your new teeth are crafted to match your facial features, bite, and natural expressions, so the result isn’t just functional, it’s beautifully yours.
Within 24-48 hours after surgery, you’ll already have your first set of new teeth, and a clear, structured path toward your final bridge. It’s a journey designed for speed, precision, and long-lasting success.
Expert implant surgeons and a dedicated anesthesiology team.
Digital planning for precision and accuracy in implant placement.
WinSix (Italy) premium implant systems for proven long-term success.
In-house lab for fast, precise provisionals and artistry on the final
crowns.
Transparent guidance, structured follow-up, and a written lifetime implant warranty.
Expert implant surgeons and a dedicated anesthesiology team.
Digital planning for precision and accuracy in implant placement.
WinSix (Italy) premium implant systems for proven long-term success.
In-house lab for fast, precise provisionals and artistry on the final
crowns.
Transparent guidance, structured follow-up, and a written lifetime implant warranty.
A stronger bite, a natural smile, and a clear, step-by-step plan – delivered with precision and care.
A stronger bite, a natural smile, and a clear, step-by-step plan – delivered with precision and care.
A stronger bite, a natural smile, and a clear, step-by-step plan – delivered with precision and care.
Restore your smile with a proven, efficient treatment trusted worldwide. With All-on-6, you can enjoy stability, confidence, and a clear path to lasting results.
A stronger bite, a natural smile, and a clear, step-by-step plan – delivered with precision and care.
Looking for more information about All on 6 Dental Implants? You can find it here.
You’ll be deeply relaxed under IV sedation administered by a certified anesthesiologist who monitors your airway, oxygen, heart rhythm, and blood pressure throughout. Most patients describe only mild soreness for a few days, which is well managed with prescribed analgesics and a soft-food plan.
We provide temporary teeth within 24-48 hours after the surgery. If stability allows, this is a fixed temporary bridge; otherwise, a temporary denture protects healing. Your final, custom bridge is placed after osseointegration. This approach balances comfort, appearance, and long-term
success.
It depends on how firmly the implants hold in your jaw right after surgery. The surgeon measures this stability using a special torque tool. If the implants are strong enough, you can receive a fixed temporary bridge within 24-48 hours. If not, a removable provisional is used first, giving the implants time to heal securely before moving to fixed teeth.
Osseointegration generally requires 3-8 months, depending on bone quality and density, jaw location (lower often faster), overall health, and habits such as smoking. We schedule check-ins to monitor stability before moving to your final bridge.
With good hygiene and routine professional maintenance, implants can last a lifetime. Final bridges commonly deliver 10-15+ years before significant maintenance or remake is considered, depending on materials, bite forces, and care.
Looking for more information about All on 6 Dental Implants? You can find it here.
You’ll be deeply relaxed under IV sedation administered by a certified anesthesiologist who monitors your airway, oxygen, heart rhythm, and blood pressure throughout. Most patients describe only mild soreness for a few days, which is well managed with prescribed analgesics and a soft-food plan.
We provide temporary teeth within 24-48 hours after the surgery. If stability allows, this is a fixed temporary bridge; otherwise, a temporary denture protects healing. Your final, custom bridge is placed after osseointegration. This approach balances comfort, appearance, and long-term
success.
It depends on how firmly the implants hold in your jaw right after surgery. The surgeon measures this stability using a special torque tool. If the implants are strong enough, you can receive a fixed temporary bridge within 24-48 hours. If not, a removable provisional is used first, giving the implants time to heal securely before moving to fixed teeth.
Osseointegration generally requires 3-8 months, depending on bone quality and density, jaw location (lower often faster), overall health, and habits such as smoking. We schedule check-ins to monitor stability before moving to your final bridge.
With good hygiene and routine professional maintenance, implants can last a lifetime. Final bridges commonly deliver 10-15+ years before significant maintenance or remake is considered, depending on materials, bite forces, and care.
Looking for more information about All on 6 Dental Implants? You can find it here.
You’ll be deeply relaxed under IV sedation administered by a certified anesthesiologist who monitors your airway, oxygen, heart rhythm, and blood pressure throughout. Most patients describe only mild soreness for a few days, which is well managed with prescribed analgesics and a soft-food plan.
We provide temporary teeth within 24-48 hours after the surgery. If stability allows, this is a fixed temporary bridge; otherwise, a temporary denture protects healing. Your final, custom bridge is placed after osseointegration. This approach balances comfort, appearance, and long-term
success.
It depends on how firmly the implants hold in your jaw right after surgery. The surgeon measures this stability using a special torque tool. If the implants are strong enough, you can receive a fixed temporary bridge within 24-48 hours. If not, a removable provisional is used first, giving the implants time to heal securely before moving to fixed teeth.
Osseointegration generally requires 3-8 months, depending on bone quality and density, jaw location (lower often faster), overall health, and habits such as smoking. We schedule check-ins to monitor stability before moving to your final bridge.
With good hygiene and routine professional maintenance, implants can last a lifetime. Final bridges commonly deliver 10-15+ years before significant maintenance or remake is considered, depending on materials, bite forces, and care.
Fill in the form to get a personalised treatment plan and price estimate from our dental experts
Fill in the form to get a personalised treatment plan and price estimate from our dental experts
Fill in the form to get a personalised treatment plan and price estimate from our dental experts
Fill in the form to get a personalised treatment plan and price estimate from our dental experts
World-class dentistry with European standards of care. Precision, artistry, and comfort in every smile.
Rruga Ibrahim Rugova, pas Universitetit të Arteve, 1001, Tirana, Albania
9:00 - 18:00
9:00 - 14:00
Closed
© 2025 DentalCare One. All rights reserved.
World-class dentistry with European standards of care. Precision, artistry, and comfort in every smile.
9:00 - 18:00
9:00 - 14:00
Closed
© 2025 DentalCare One. All rights reserved.