
Whether repairing a single tooth or transforming your entire smile, our crowns deliver
strength, beauty, and long-lasting results, at up to 70% lower cost than Western Europe.
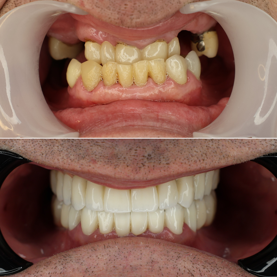
All-on-4 replaces a full upper or lower arch with four titanium implants that anchor a fixed bridge. It is best suited for patients who have lost all or most teeth, or whose existing teeth are severely damaged due to decay, periodontitis, or mobility. This procedure is also suitable for patients with severe bone loss, where an all-on-6 might not be possible. With fewer implants required, the procedure is efficient, and provides a stable, lifelike smile that restores both function and confidence.
We capture a panoramic x-ray, 3D CBCT scans, and photographs that help design your new smile. This plan distributes bite forces efficiently and guides the surgeon with precision.
Treatment is performed under IV sedation administered by a certified anesthesiologist who
continuously monitors your vitals for safety (airway, oxygen saturation, blood pressure, ECG).
Six premium Italian implants are then placed at strategic angles for primary jaw stability and
long-term results.
Once the implants are placed, the surgeon checks how firmly they are anchored in the jawbone. This is done with a small torque wrench that measures how much force each implant can safely withstand. If the implants show strong stability, we can plan for a fixed temporary bridge within 24-48 hours. If the stability is lower, we provide a temporary denture while the implants bond naturally with the bone. This careful testing not only tells us whether immediate loading is possible, but also gives us an idea of how many months the implants will take to fully integrate usually between 3 and 8 months depending on bone quality and healing.
We take impressions (or digital scans) after surgery. Our lab fabricates your provisional teeth,
either a fixed temporary bridge (when stability permits) or a well-fitting temporary denture.
Delivery is typically within 24-48 hours, not the same day, to ensure accuracy and comfort.
Implants bond with bone over 3-8 months, influenced by bone quality, jaw location, general health, and age. Lower jaws often integrate faster than uppers; smokers or certain medical conditions may need longer. The exact time period will be communicated to you by the surgical team after the insertion of the implants.
After the healing phase, when the implants have fully integrated with the jawbone, we begin the process of crafting your permanent bridge. At DentalCare One, this step is never rushed, it is a careful, staged process designed to perfect both function and aesthetics. We start with a trial bridge, which allows you to test your new smile in real life. During this stage, we refine:
● Bite (occlusion): ensuring your chewing feels balanced and comfortable.
● Speech (phonetics): checking that words and sounds come out naturally.
● Smile design: adjusting tooth shape, size, and line so it harmonizes with your facial
features.
Only once you and our specialists are completely satisfied do we move to the final zirconium or ceramic bridge, hand-crafted in our lab for long-term durability and natural beauty. This trial period is something we are especially proud of, as it guarantees that your new smile doesn’t just look right, it feels right in every way.
Whether repairing a single tooth or transforming your entire smile, our crowns deliver strength, beauty, and long-lasting results, at up to 70% lower cost than Western Europe.
All-on-4 replaces a full upper or lower arch with four titanium implants that anchor a fixed bridge. It is best suited for patients who have lost all or most teeth, or whose existing teeth are severely damaged due to decay, periodontitis, or mobility. This procedure is also suitable for patients with severe bone loss, where an all-on-6 might not be possible. With fewer implants required, the procedure is efficient, and provides a stable, lifelike smile that restores both function and confidence.
Whether repairing a single tooth or transforming your entire smile, our crowns deliver strength, beauty, and long-lasting results, at up to 70% lower cost than Western Europe.
All-on-4 replaces a full upper or lower arch with four titanium implants that anchor a fixed bridge. It is best suited for patients who have lost all or most teeth, or whose existing teeth are severely damaged due to decay, periodontitis, or mobility. This procedure is also suitable for patients with severe bone loss, where an all-on-6 might not be possible. With fewer implants required, the procedure is efficient, and provides a stable, lifelike smile that restores both function and confidence.
We capture a panoramic x-ray, 3D CBCT scans, and photographs that help design your new smile. This plan distributes bite forces efficiently and guides the surgeon with precision.
Treatment is performed under IV sedation administered by a certified anesthesiologist who continuously monitors your vitals for safety (airway, oxygen saturation, blood pressure, ECG).
Six premium Italian implants are then placed at strategic angles for primary jaw stability and
long-term results.
Once the implants are placed, the surgeon checks how firmly they are anchored in the jawbone. This is done with a small torque wrench that measures how much force each implant can safely withstand. If the implants show strong stability, we can plan for a fixed temporary bridge within 24-48 hours. If the stability is lower, we provide a temporary denture while the implants bond naturally with the bone. This careful testing not only tells us whether immediate loading is possible, but also gives us an idea of how many months the implants will take to fully integrate, usually between 3 and 8 months depending on bone quality and healing.
We take impressions (or digital scans) after surgery. Our lab fabricates your provisional teeth, either a fixed temporary bridge (when stability permits) or a well-fitting temporary denture. Delivery is typically within 24-48 hours, not the same day, to ensure accuracy and comfort.
Implants bond with bone over 3-8 months, influenced by bone quality, jaw location, general
health, and age. Lower jaws often integrate faster than uppers; smokers or certain medical
conditions may need longer. The exact time period will be communicated to you by the surgical team after the insertion of the implants.
After the healing phase, when the implants have fully integrated with the jawbone, we begin the
process of crafting your permanent bridge. At DentalCare One, this step is never rushed, it is a careful, staged process designed to perfect both function and aesthetics. We start with a trial bridge, which allows you to test your new smile in real life. During this stage, we refine:
● Bite (occlusion): ensuring your chewing feels balanced and comfortable.
● Speech (phonetics): checking that words and sounds come out naturally.
● Smile design: adjusting tooth shape, size, and line so it harmonizes with your facial
features.
Only once you and our specialists are completely satisfied do we move to the final zirconium or
ceramic bridge, hand-crafted in our lab for long-term durability and natural beauty. This trial
period is something we are especially proud of, as it guarantees that your new smile doesn’t just
look right, it feels right in every way.
Whether repairing a single tooth or transforming your entire smile, our crowns deliver strength, beauty, and long-lasting results, at up to 70% lower cost than Western Europe.
All-on-4 replaces a full upper or lower arch with four titanium implants that anchor a fixed bridge. It is best suited for patients who have lost all or most teeth, or whose existing teeth are severely damaged due to decay, periodontitis, or mobility. This procedure is also suitable for patients with severe bone loss, where an all-on-6 might not be possible. With fewer implants required, the procedure is efficient, and provides a stable, lifelike smile that restores both function and confidence.
We capture a panoramic x-ray, 3D CBCT scans, and photographs that help design your new smile. This plan distributes bite forces efficiently and guides the surgeon with precision.
Treatment is performed under IV sedation administered by a certified anesthesiologist who continuously monitors your vitals for safety (airway, oxygen saturation, blood pressure, ECG).
Six premium Italian implants are then placed at strategic angles for primary jaw stability and
long-term results.
Once the implants are placed, the surgeon checks how firmly they are anchored in the jawbone. This is done with a small torque wrench that measures how much force each implant can safely withstand. If the implants show strong stability, we can plan for a fixed temporary bridge within 24-48 hours. If the stability is lower, we provide a temporary denture while the implants bond naturally with the bone. This careful testing not only tells us whether immediate loading is possible, but also gives us an idea of how many months the implants will take to fully integrate, usually between 3 and 8 months depending on bone quality and healing.
We take impressions (or digital scans) after surgery. Our lab fabricates your provisional teeth, either a fixed temporary bridge (when stability permits) or a well-fitting temporary denture. Delivery is typically within 24-48 hours, not the same day, to ensure accuracy and comfort.
Implants bond with bone over 3-8 months, influenced by bone quality, jaw location, general
health, and age. Lower jaws often integrate faster than uppers; smokers or certain medical
conditions may need longer. The exact time period will be communicated to you by the surgical team after the insertion of the implants.
After the healing phase, when the implants have fully integrated with the jawbone, we begin the
process of crafting your permanent bridge. At DentalCare One, this step is never rushed, it is a careful, staged process designed to perfect both function and aesthetics. We start with a trial bridge, which allows you to test your new smile in real life. During this stage, we refine:
● Bite (occlusion): ensuring your chewing feels balanced and comfortable.
● Speech (phonetics): checking that words and sounds come out naturally.
● Smile design: adjusting tooth shape, size, and line so it harmonizes with your facial
features.
Only once you and our specialists are completely satisfied do we move to the final zirconium or
ceramic bridge, hand-crafted in our lab for long-term durability and natural beauty. This trial
period is something we are especially proud of, as it guarantees that your new smile doesn’t just
look right, it feels right in every way.
We begin with panoramic x-rays, 3D CBCT scans, and photographs to plan your treatment. This ensures optimal positioning of the four implants and a balanced distribution of chewing forces.
Treatment is performed under IV sedation administered by a certified anesthesiologist who continuously monitors your vitals for safety (airway, oxygen saturation, blood pressure, ECG). Six premium Italian implants are then placed at strategic angles for primary jaw stability and long-term results.
Once the implants are placed, the surgeon checks how firmly they are anchored in the jawbone. This is done with a small torque wrench that measures how much force each implant can safely withstand. If the implants show strong stability, we can plan for a fixed temporary bridge within 24-48 hours. If the stability is lower, we provide a temporary denture while the implants bond naturally with the bone. This careful testing not only tells us whether immediate loading is possible, but also gives us an idea of how many months the implants will take to fully integrate, usually between 3 and 8 months depending on bone quality and healing.
We take impressions (or digital scans) after surgery. Our lab fabricates your provisional teeth, either a fixed temporary bridge (when stability permits) or a well-fitting temporary denture. Delivery is typically within 24-48 hours, not the same day, to ensure accuracy and comfort.
Implants bond with bone over 3-8 months, influenced by bone quality, jaw location, general health, and age. Lower jaws often integrate faster than uppers; smokers or certain medical conditions may need longer. The exact time period will be communicated to you by the surgical team after the insertion of the implants.
After the healing phase, when the implants have fully integrated with the jawbone, we begin the process of crafting your permanent bridge. At DentalCare One, this step is never rushed, it is a careful, staged process designed to perfect both function and aesthetics. We start with a trial bridge, which allows you to test your new smile in real life. During this stage, we refine:
● Bite (occlusion): ensuring your chewing feels balanced and comfortable.
● Speech (phonetics): checking that words and sounds come out naturally.
● Smile design: adjusting tooth shape, size, and line so it harmonizes with your facial
features.
Only once you and our specialists are completely satisfied do we move to the final zirconium or ceramic bridge, hand-crafted in our lab for long-term durability and natural beauty. This trial period is something we are especially proud of, as it guarantees that your new smile doesn’t just look right, it feels right in every way.
“Immediate loading” means fitting temporary teeth onto the implants shortly after surgery. To ensure safety,
the surgeon measures implant stability with a torque wrench. If stability is high, a fixed provisional bridge can be fitted within 24-48 hours. If not, a removable denture is used during healing. This approach combines immediate comfort with the best long-term outcomes.
“Immediate loading” means fitting temporary teeth onto the implants shortly after surgery. To ensure safety,
the surgeon measures implant stability with a torque wrench. If stability is high, a fixed provisional bridge can be fitted within 24-48 hours. If not, a removable denture is used during healing. This approach combines immediate comfort with the best long-term outcomes.
“Immediate loading” means fitting temporary teeth onto the implants shortly after surgery. To ensure safety,
the surgeon measures implant stability with a torque wrench. If stability is high, a fixed provisional bridge can be fitted within 24-48 hours. If not, a removable denture is used during healing. This approach combines immediate comfort with the best long-term outcomes.
“Immediate loading” means fitting temporary teeth onto the implants shortly after surgery. To ensure safety, the surgeon measures implant stability with a torque wrench. If stability is high, a fixed provisional bridge can be fitted within 24-48 hours. If not, a removable denture is used during healing. This approach combines immediate comfort with the best long-term outcomes.
Secure, fixed teeth that let you eat, speak, and smile freely - no slipping, no fear.
Implants stimulate the jawbone, helping to maintain bone health and prevent the facial collapse that often follows tooth loss.
With only four implants required, the treatment is less invasive, shorter, and often more cost-effective while still delivering full-arch stability.
Within 24-48 hours, you’ll have your first set of new teeth and a straightforward plan toward your permanent bridge.
Secure, fixed teeth that let you eat, speak, and smile freely - no slipping, no fear.
Implants stimulate the jawbone, helping to maintain bone health and prevent the facial collapse that often follows tooth loss.
With only four implants required, the treatment is less invasive, shorter, and often more cost-effective while still delivering full-arch stability.
Within 24-48 hours, you’ll have your first set of new teeth and a straightforward plan toward your permanent bridge.
Secure, fixed teeth that let you eat, speak, and smile freely - no slipping, no fear.
Implants stimulate the jawbone, helping to maintain bone health and prevent the facial collapse that often follows tooth loss.
With only four implants required, the treatment is less invasive, shorter, and often more cost-effective while still delivering full-arch stability.
Within 24-48 hours, you’ll have your first set of new teeth and a straightforward plan toward your permanent bridge.
Secure, fixed teeth that let you eat, speak, and smile freely - no slipping, no fear.
Implants stimulate the jawbone, helping to maintain bone health and prevent the facial collapse that often follows tooth loss.
With only four implants required, the treatment is less invasive, shorter, and often more cost-effective while still delivering full-arch stability.
Within 24-48 hours, you’ll have your first set of new teeth and a straightforward plan toward your permanent bridge.
Experienced implant surgeons and a dedicated anesthesiology team.
Digital planning for precise implant placement.
WinSix (Italy) premium implant systems with proven success.
In-house lab for fast, accurate provisional and final restorations.
Transparent process, structured follow-up, and a written lifetime implant warranty.
Experienced implant surgeons and a dedicated anesthesiology team.
Digital planning for precise implant placement.
WinSix (Italy) premium implant systems with proven success.
In-house lab for fast, accurate provisional and final restorations.
Transparent process, structured follow-up, and a written lifetime implant warranty.
Experienced implant surgeons and a dedicated anesthesiology team.
Digital planning for precise implant placement.
WinSix (Italy) premium implant systems with proven success.
In-house lab for fast, accurate provisional and final restorations.
Transparent process, structured follow-up, and a written lifetime implant warranty.
Restore your smile with a proven, efficient treatment trusted worldwide. With All-on-4, you can enjoy stability, confidence, and a clear path to lasting results.
Restore your smile with a proven, efficient treatment trusted worldwide. With All-on-4, you can enjoy stability, confidence, and a clear path to lasting results.
Restore your smile with a proven, efficient treatment trusted worldwide. With All-on-4, you can enjoy stability, confidence, and a clear path to lasting results.
Restore your smile with a proven, efficient treatment trusted worldwide. With All-on-4, you can enjoy stability, confidence, and a clear path to lasting results.
Restore your smile with a proven, efficient treatment trusted worldwide. With All-on-4, you can enjoy stability, confidence, and a clear path to lasting results.
Looking for more information about All on 4 Dental Implants? You can find it here.
No. You’ll be under IV sedation, monitored by a certified anesthesiologist for complete comfort and safety. Patients typically report only mild soreness for a few days, which is managed with prescribed pain relief and a soft-food diet.
Yes, within 24-48 hours after surgery, you’ll receive provisional teeth. If stability allows, these are a fixed temporary bridge; if not, a comfortable temporary denture is provided until the implants fully heal.
It depends on how firmly the implants hold in your jaw right after surgery. The surgeon measures this with a torque tool. Strong stability allows for a fixed provisional bridge, while lower stability means starting with a removable denture until healing is complete.
On average, 3–8 months are needed for the implants to fully integrate with your jawbone. The timeline varies depending on bone quality, jaw location, age, and general health. Regular reviews ensure the process stays on track.
With good oral hygiene and regular professional care, All-on-4 implants can last a lifetime. The final bridge usually provides 10–15+ years of function before needing significant maintenance or replacement, depending on bite forces and materials used.
Looking for more information about All on 4 Dental Implants? You can find it here.
No. You’ll be under IV sedation, monitored by a certified anesthesiologist for complete comfort and safety. Patients typically report only mild soreness for a few days, which is managed with prescribed pain relief and a soft-food diet.
Yes, within 24-48 hours after surgery, you’ll receive provisional teeth. If stability allows, these are a fixed temporary bridge; if not, a comfortable temporary denture is provided until the implants fully heal.
It depends on how firmly the implants hold in your jaw right after surgery. The surgeon measures this with a torque tool. Strong stability allows for a fixed provisional bridge, while lower stability means starting with a removable denture until healing is complete.
On average, 3–8 months are needed for the implants to fully integrate with your jawbone. The timeline varies depending on bone quality, jaw location, age, and general health. Regular reviews ensure the process stays on track.
With good oral hygiene and regular professional care, All-on-4 implants can last a lifetime. The final bridge usually provides 10–15+ years of function before needing significant maintenance or replacement, depending on bite forces and materials used.
Looking for more information about All on 4 Dental Implants? You can find it here.
No. You’ll be under IV sedation, monitored by a certified anesthesiologist for complete comfort and safety. Patients typically report only mild soreness for a few days, which is managed with prescribed pain relief and a soft-food diet.
Yes, within 24-48 hours after surgery, you’ll receive provisional teeth. If stability allows, these are a fixed temporary bridge; if not, a comfortable temporary denture is provided until the implants fully heal.
It depends on how firmly the implants hold in your jaw right after surgery. The surgeon measures this with a torque tool. Strong stability allows for a fixed provisional bridge, while lower stability means starting with a removable denture until healing is complete.
On average, 3–8 months are needed for the implants to fully integrate with your jawbone. The timeline varies depending on bone quality, jaw location, age, and general health. Regular reviews ensure the process stays on track.
With good oral hygiene and regular professional care, All-on-4 implants can last a lifetime. The final bridge usually provides 10–15+ years of function before needing significant maintenance or replacement, depending on bite forces and materials used.
Fill in the form to get a personalised treatment plan and price estimate from our dental experts
Fill in the form to get a personalised treatment plan and price estimate from our dental experts
Fill in the form to get a personalised treatment plan and price estimate from our dental experts
Fill in the form to get a personalised treatment plan and price estimate from our dental experts
World-class dentistry with European standards of care. Precision, artistry, and comfort in every smile.
Rruga Ibrahim Rugova, pas Universitetit të Arteve, 1001, Tirana, Albania
9:00 - 18:00
9:00 - 14:00
Closed
© 2025 DentalCare One. All rights reserved.
World-class dentistry with European standards of care. Precision, artistry, and comfort in every smile.
9:00 - 18:00
9:00 - 14:00
Closed
© 2025 DentalCare One. All rights reserved.